La endometriosis es una enfermedad en la que tejido similar al endometrio —la capa que recubre el interior del útero— aparece fuera de él, habitualmente en los ovarios, el peritoneo o los ligamentos que sostienen el útero. Este tejido responde a las hormonas del ciclo menstrual, generando inflamación y, en muchos casos, dolor.
Síntomas más frecuentes:
- Dolor menstrual intenso (dismenorrea)
- Dolor pélvico crónico
- Dolor durante las relaciones sexuales (dispareunia)
- Molestias intestinales o urinarias relacionadas con el ciclo
- Reglas abundantes o irregulares
- Dificultad para lograr embarazo
Los síntomas pueden variar mucho de una mujer a otra, y no siempre guardan relación directa con el grado de afectación.

Diagnóstico:
El diagnóstico de la endometriosis se basa en dos pilares fundamentales:
- Una historia clínica detallada, que permite identificar los síntomas y su evolución.
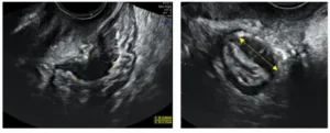
- La ecografía ginecológica realizada por manos expertas, que hoy en día se considera una técnica adecuada, precisa y suficiente para el diagnóstico en la mayoría de los casos, sin necesidad de recurrir a cirugía.
La laparoscopia ya no es el método diagnóstico de elección, sino una herramienta terapéutica reservada para situaciones específicas.
Tratamiento:
El tratamiento debe ser siempre personalizado, teniendo en cuenta la edad, los síntomas, el deseo reproductivo y la calidad de vida de cada mujer.
De forma general, el abordaje suele incluir:
- Tratamiento hormonal, que es la primera línea para reducir el dolor y controlar la progresión de la enfermedad.
- Cirugía, que se reserva para casos muy concretos: dolor severo que no mejora con tratamiento médico, endometriomas grandes o compromisos anatómicos relevantes, o cuando interfiere claramente con la fertilidad.
Cuando se necesita cirugía, el objetivo es realizar una única intervención a lo largo de la vida, resolviendo todas las lesiones en un mismo acto quirúrgico y minimizando el riesgo de nuevas intervenciones.